Tin tức về "COVID 19"
Một chất hóa học chiết xuất từ tinh dầu khuynh diệp có trong thuốc xịt côn trùng có thể tiêu diệt vi ...
VOV.VN - Trung Quốc gần đây đã ghi nhận sự bùng phát của virus chikungunya khiến nhiều người lo ngại ...
BioNTech và bang Victoria, ngày 7/10 thông báo hoàn tất ký kết thỏa thuận hợp tác về nguyên tắc cho ...
Xbox Series X đã chính thức được bày bán tại các cửa hàng trên khắp toàn cầu.
PlayStation 5, thế hệ máy chơi game tiếp theo của công ty sản xuất hàng điện tử tiêu dùng Sony, đã đ ...
Hiệp hội Hoàng gia Anh mới đưa ra cảnh báo rằng công nghệ thu thập dữ liệu di truyền từ không khí có ...
Không chỉ là một giải pháp thiết thực để ứng phó với khó khăn trong giai đoạn phòng, chống dịch COVI ...
Geely Icon là một chiếc SUV nhỏ gọn do Geely sản xuất từ năm 2020, dựa trên nền tảng BMA và chiếc ...
Nhật Bản ngày 9/9 thông báo sẽ đưa vào vận hành thử nghiệm hệ thống robot phục vụ cà phê cho hành kh ...
Nhóm chuyên gia sản xuất vaccine ngừa COVID-19 Pfizer/BioNTech tự tin rằng các bệnh nhân có thể tiếp ...
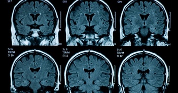
Nghiên cứu mới đây đã phát hiện ra rằng bộ não của những thanh thiếu niên trải qua đại dịch COVID-19 ...
Triển lãm Quốc phòng quốc tế (IDEX) lần thứ 15 đã được khai mạc ngày 21/2 tại Abu Dhabi - thủ đô của ...
Các nhân viên y tế khẩn cấp tại hai bệnh viện San Francisco (Mỹ) sẽ bắt đầu đeo nhẫn thông minh có k ...
VOV.VN - Bộ Y tế Indonesia hối thúc người dân đeo khẩu trang trở lại sau khi các ca bệnh viêm phổi d ...
Robot AI có khả năng tấn công dịch vụ y tế quốc gia, gây gián đoạn giống đại dịch COVID-19